Пластиковый колпачок стал причиной полугодовой пневмонии у московского школьника

В Москве граждане полгода не могли вылечить сына от пневмонии. Оказалось, что причина недуга мальчика – маленький пластиковый колпачок, оказавшийся в бронхах.

Жители Москвы привели к врачу своего восьмилетнего сына. Они рассказали, что уже шесть месяцев мальчик никак не может излечиться от пневмонии. Также ребенок постоянно заболевает респираторными инфекциями.

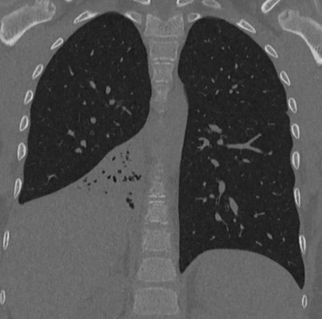
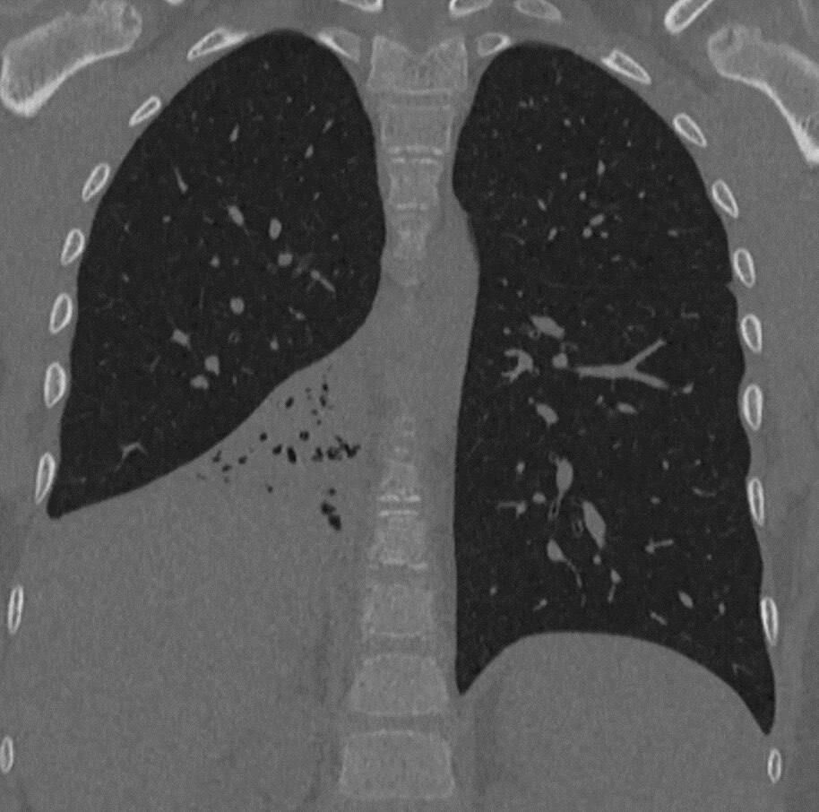
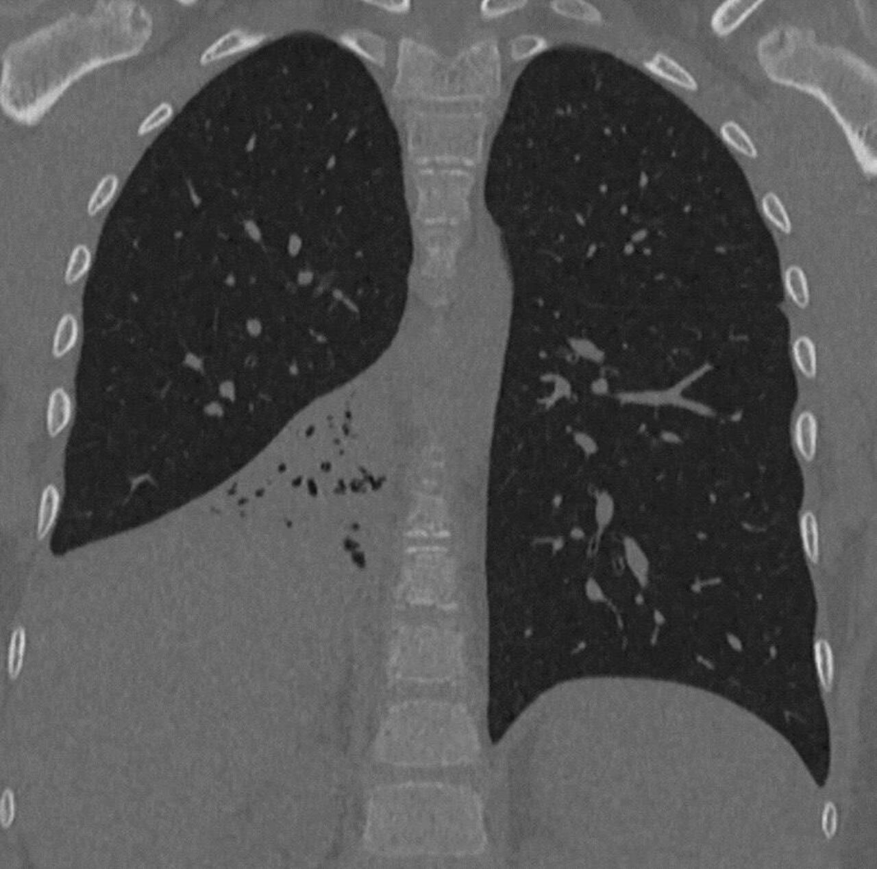
Медики провели осмотр, в ходе которого выяснили, что у школьника воспалено правое легкое, его вентиляция нарушена. Оказалось, что причиной этого стал посторонний предмет в бронхах – маленький пластиковый колпачок. Мальчик признался, что случайно вдохнул его полгода назад.

Врачи провели получасовую операцию, в ходе которой успешно извлекли из организма маленького пациента инородное тело. Информацией делится Telegram-канал SHOT.

Фото: Telegram / SHOT
Комментарии для сайта Cackle