Кузбасские врачи более 40 дней спасали жизнь молодому человеку с пересаженной печенью

Молодому человеку пересадили печень, через несколько лет его состояние ухудшилось. Врачам в Кузбассе удалось спасти ему жизнь.

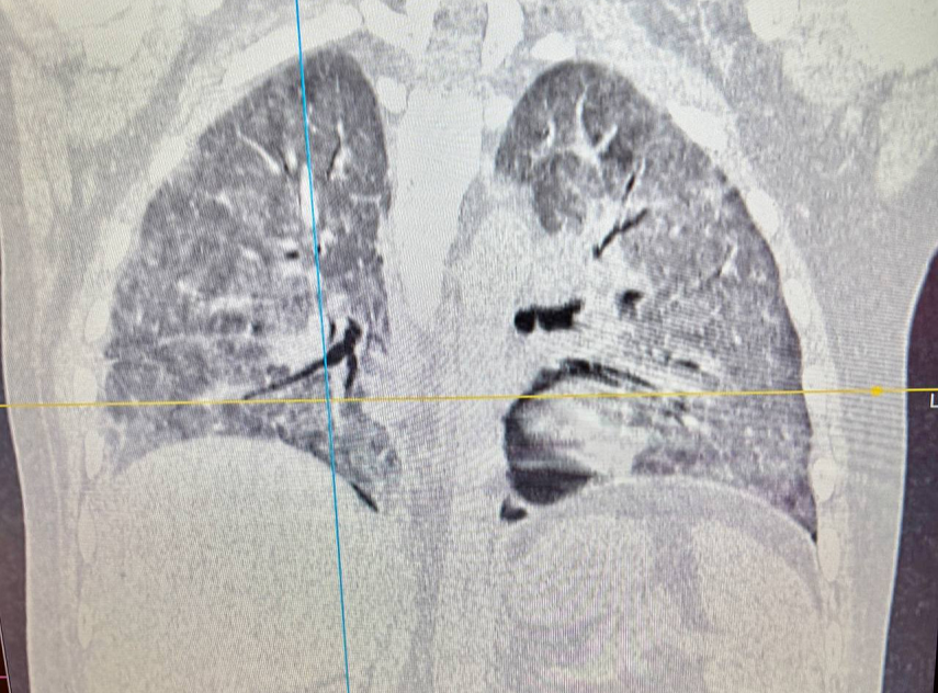
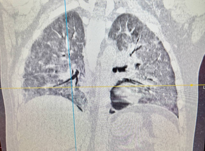
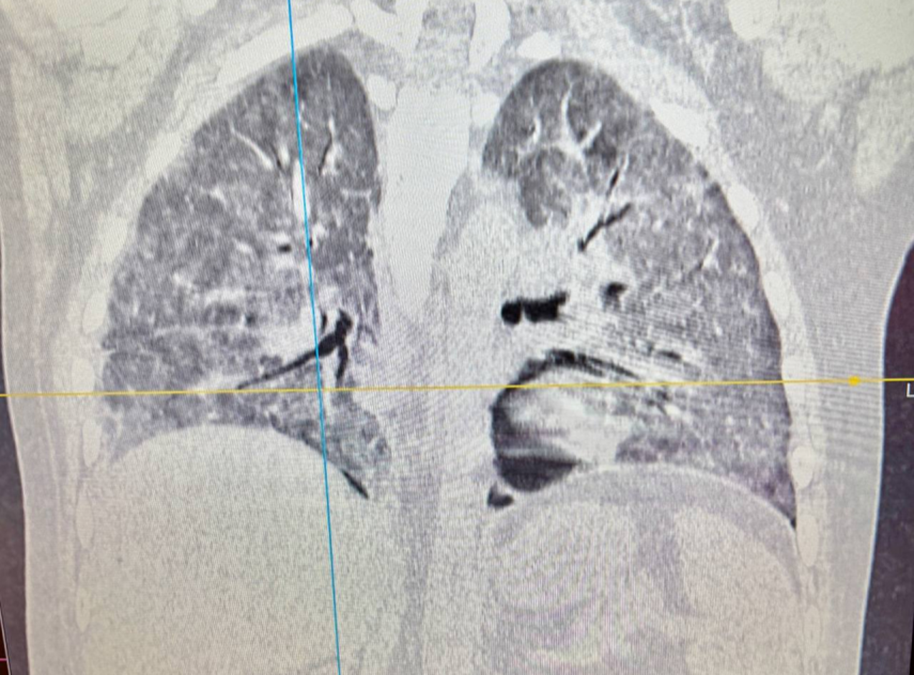
В Кузбассе врачи более 40 дней боролись за жизнь пациента, которому пересадили печень. Об этом сообщает Минздрав региона.

В 2020 году у молодого человека выявили цирроз печени. Ему провели непростую операцию в Москве, благодаря чему у него появился шанс на жизнь. Однако весной текущего года парень почувствовал недомогание. Он не воспринял всерьез начальные симптомы, но скоро его состояние резко ухудшилось.

Оказалось, что у кузбассовца тяжелая пневмония, его положили в больницу. Также пересаженная печень стала функционировать с нарушениями.

Медики провели гемодиафильтрацию и обширную антибиотикотерапию. Пациента постепенно перевели с искусственной вентиляции легких на самостоятельное дыхание. В результате жизнь молодого человека удалось спасти.

Фото: Министерство здравоохранения Кузбасса
Комментарии для сайта Cackle