Московский грумер сломал лапу щенку во время стрижки

В Новой Москве грумер, которая работала всего два дня, сломала лапу трехмесячному щенку. Хозяйка животного намерена наказать мастера.

9 февраля жительница Новой Москвы привела на груминг (уход за шерстью, когтями и кожей собак) своего трехмесячного щенка. Как рассказывает женщина, ее приняла очень странная мастер: девушка попросила инструменты у администратора – своих у нее не оказалось.

Сначала хозяйка помогала держать щенка во время стрижки, по позже грумер сообщила, что справится сама. Женщина вышла в коридор, однако вскоре услышала громкий визг собаки. Москвичка вернулась в кабинет, где обнаружила своего питомца на полу.

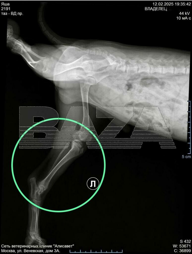
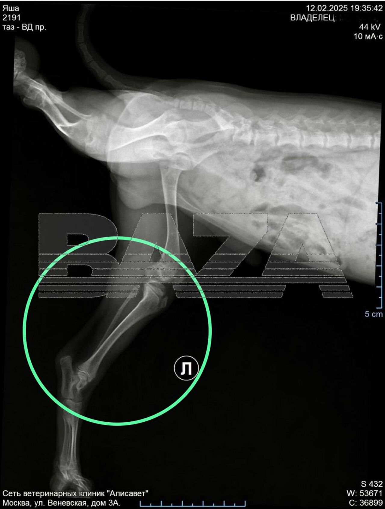
Хозяйка показала щенка ветеринарам, которые установили, что у него перелом малой берцовой кости. Конечность животному сломала грумер во время процедур.

Как выяснили хозяйка позже, девушка работала в салоне только второй день. Теперь москвичка намерена добиться увольнения сотрудницы и получить компенсацию. Пострадавшая отметила, что грумер оплатила рентген, однако после перестала выходить на связь.

В салоне же заявляют, что вины мастера в произошедшем нет: по словам других грумеров, пес сам попятился назад и упал со стола. Информацией делится Telegram-канал Baza.

Фото: Telegram / BAZA
Видео: Telegram / BAZA
Комментарии для сайта Cackle