Пенсионерка с Сахалина 80 лет прожила с трехсантиметровой иглой в мозге

Врачи на Сахалине обнаружили у пенсионерки иглу в мозге. Она прожила с ней 80 лет.

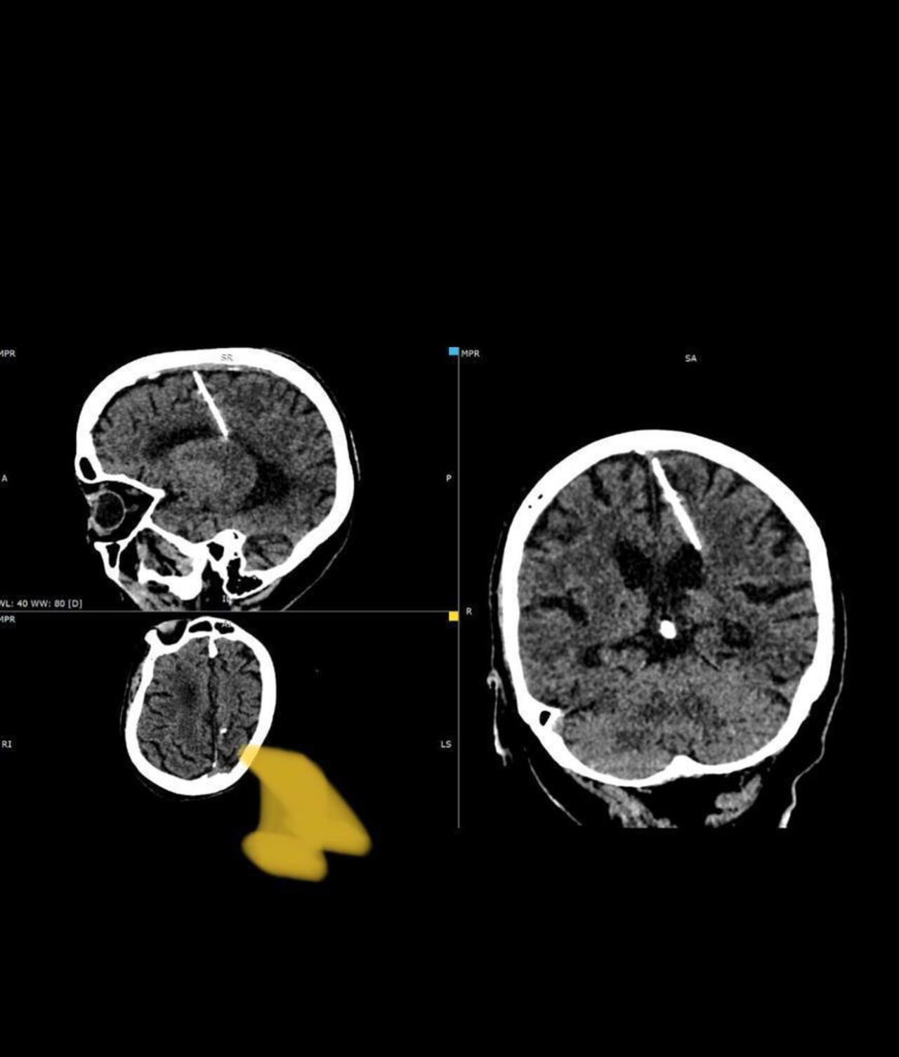
80-летняя жительница Сахалина 80 лет прожила с трехсантиметровой иглой в мозге. Скорее всего, иголка находится там с самого рождения женщины, таким образом ее могли попытаться умертвить в военное время. Этот способ был широко распространен, тонкую иглу вводили в родничок младенца, он быстро затягивался и скрывал преступление, а ребенок умирал. Однако в этом случае женщине повезло, игла проникла в левую теменную долю мозга, но она смогла выжить.

Головные боли ее никогда не мучили. Инородное тело было замечено только во время проведения компьютерной томографии. Извлекать иглу не стали, так как это могло ухудшить состояние пожилой женщины. В настоящий момент здоровью пациентки ничего не угрожает, за ней наблюдает лечащий врач, сообщает региональный Минздрав.

Фото: Telegram / "Минздрав Сахалинской области"
Комментарии для сайта Cackle