Лёгкие стали «попкорном»: трое ростовских подростков в реанимации из‑за вейпов

В Ростовской области трое подростков попали в реанимацию с критическим поражением лёгких. Врачи установили, что причина в вейпах.

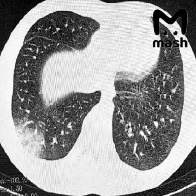
По данным Минздрава Ростовской области, с лета 2025 года в реанимацию областной детской больницы Ростова поступили трое детей с критическим поражением лёгких. После обследований и анализов медики пришли к выводу: заболевания развились из‑за регулярного использования вейпов.

16‑летний подросток почти утратил способность дышать самостоятельно – ему понадобилась искусственная вентиляция лёгких. У другого пациента диагностировали двустороннее поражение лёгочных тканей, известное как "попкорновая болезнь". Юношу срочно прооперировали, врачи смогли спасти его жизнь.

Медики поясняют, что пар от вейпов содержит опасные химические соединения: глицерин, пропиленгликоль, ароматизаторы и зачастую никотин. Эти вещества раздражают дыхательные пути, вызывают воспаление и могут привести к тяжёлым последствиям для здоровья – передаёт RostovGazeta.

Случаи поражения лёгких из‑за вейпов фиксируются и в других регионах страны. Врачи настойчиво призывают отказаться от этой привычки. Они подчёркивают, что, казалось бы, безобидные шалости, способны повлечь серьёзные заболевания.

На государственном уровне принимаются меры по ограничению распространения вейпов. С 1 сентября 2026 года регионы получат право вводить местные запреты на продажу электронных сигарет и жидкостей к ним – для этого каждому субъекту РФ предстоит принять соответствующий закон.

Фото: телеграм-канал «Mash»
Комментарии для сайта Cackle